A fracture nonunion is a bone that doesn't heal properly.
While most bones do heal on their own, certain factors can put you at risk. Too much movement or too little blood flow can contribute to nonunions, as can smoking, diabetes, anemia, and general poor health.
A nonunion can occur anywhere, but common culprits are the femur, tibia, and humerus.
There are a few treatment options—both surgical and non-surgical—that range from a bone stimulator device to bone grafting to revision surgery.
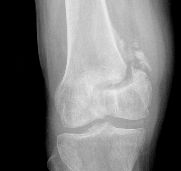
Before treatment
A 54-year-old man injured his leg in 2011. He was treated non-operatively, but two years later the pain had only grown worse. He also had a worsening deformity of his knee.
By 2013, he'd had enough. He came to see Dr. Stoneback at University of Colorado Hospital, where the team took a comprehensive look at his health. Dr. Stoneback saw that the broken bone had affected the nearby joint, creating an angular deformity and
making it particularly difficult to treat.
After treatment
Fortunately, Dr. Stoneback was able to fix the problem surgically without a complex knee replacement—allowing the relatively young patient to keep his own knee. Because of the multidisciplinary approach at the hospital, they were able to help him
heal his intra-articular nonunion and regain functionality of his leg.