Alert: Canvas Outage Update

Learn More

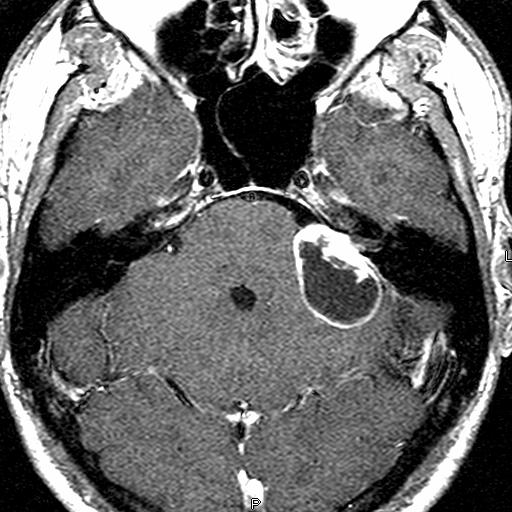
Acoustic Neuroma

(also called “vestibular schwannoma”)

Acoustic NeuromaDefinition: An acoustic neuroma is a benign tumor that grows from the lining of one of the vestibulocochlear nerves, the nerves responsible for hearing and balance.    

Symptoms: The most common symptoms of an acoustic neuroma are hearing loss, tinnitus, and vertigo.  Hearing loss associated with an acoustic neuroma is usually gradual.  It may be preceded by tinnitus, a ringing or other abnormal sound heard in the affected ear.  Vertigo is a spinning sensation.  Larger acoustic neuromas can compress nerves that lie next to the vestibulocochlear nerve, causing facial weakness. 

Evaluation: The best way to assess an acoustic neuroma is with an MRI of the brain.  A CT scan may be recommended to evaluate the skull around the tumor.  Audiometry, a test of hearing, may be ordered to assess the extent and progression of a person’s hearing loss.   

Treatment Options:

  • Continued observation:  Regular MRI’s of the brain will be performed to watch for tumor growth. Audiometry may also be recommended to monitor for worsening hearing loss.  If the tumor grows or symptoms attributable to the tumor worsen, then surgical removal may be recommended. 
  • Surgery: The goal of surgery is to remove or reduce the size of the tumor to prevent it from getting larger and causing further damage to the vestibulocochlear and surrounding nerves.  Hearing loss does not usually improve after surgery. Preservation of the level of hearing that is present before surgery is dependent upon the size of the tumor that must be removed. 
  • Radiation: Focal radiation therapy is recommended for recurrent tumors.

Follow-up:  Acoustic neuromas can recur so it is necessary to continue to have regular MRI’s of the brain after removal.  If the tumor does not recur, or if it recurs and grows slowly, the time between MRI’s may be increased.  If the tumor recurs, repeat surgery or radiation may be recommended.  If vestibular problems (problems with vertigo or balance) occur, they can be addressed with vestibular rehabilitation. 

  

Neurosurgery

CU Anschutz

Academic Office One

12631 East 17th Avenue

5001

Aurora, CO 80045

303-724-2306


CU Anschutz

University Hospital - Neurosurgery Patient Affairs

12605 E 16th Ave

Aurora, CO 80045

720-848-2080


CMS Login