Alert: Canvas Outage Update

Learn More

Keller Laboratory

Dr. Amy Keller is a Research Scientist at the Rocky Mountain Regional VA Medical Center and Assistant Professor in the Division of Endocrinology, Metabolism and Diabetes at the University of Colorado School of Medicine.

Dr. Keller’s lab focuses on botanical therapies for the treatment of cardiovascular disease (CVD) in diabetes. Within this research, she also investigates the role of sex differences in CVD pathology and potential impact on therapeutic targets. The Keller lab is especially interested in the regulation of vascular function by localized adipose tissue, known as perivascular adipose tissue (PVAT).

Amy Keller  Photo credit: Ms. Ji Hye Chun
1

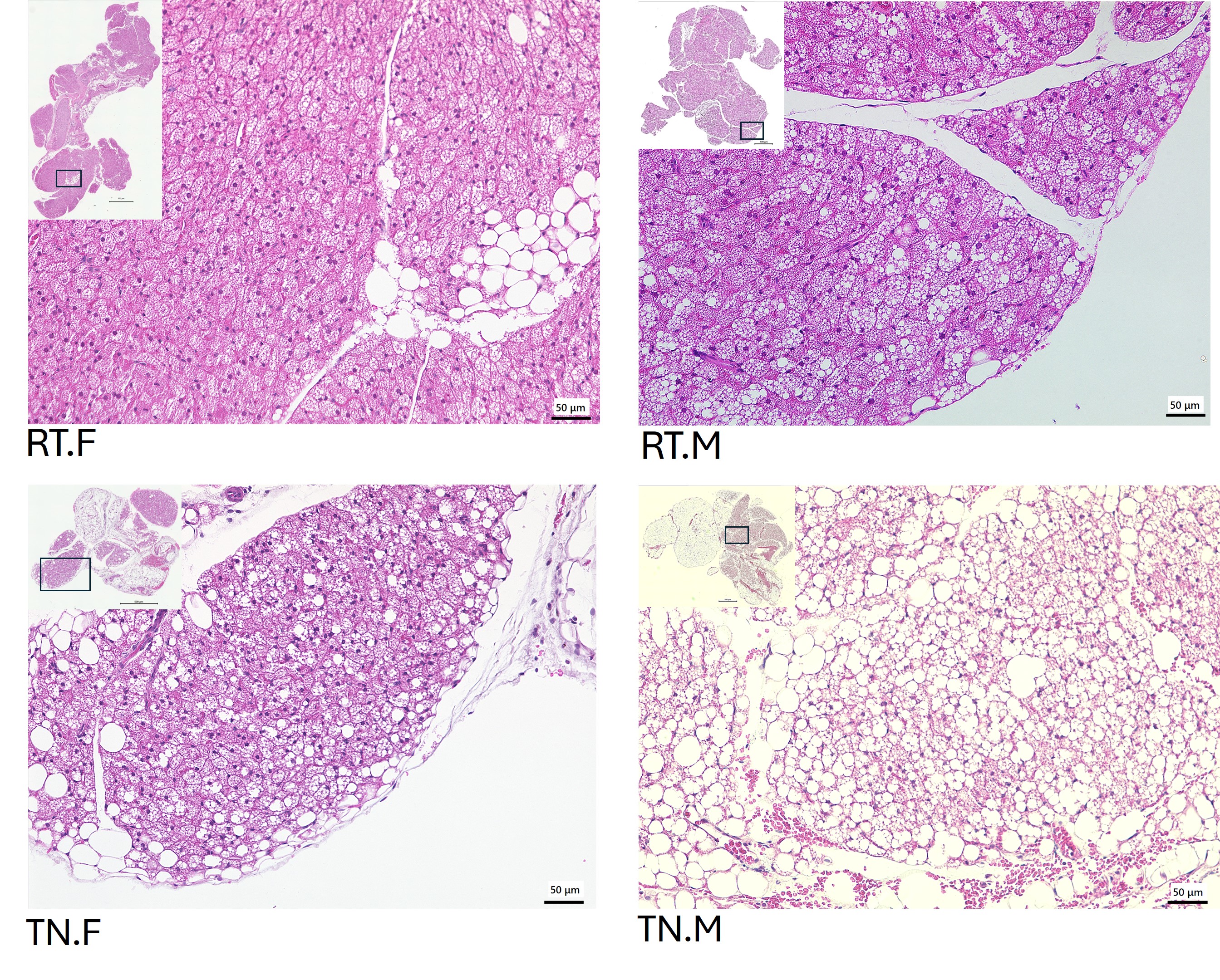
Adipose tissue signaling determines vascular function. What happens when adipose phenotype changes?

H&E
Link to Publications
2

Natural products to the rescue! Epicatechin — think chocolate and green tea — supports vascular function in times of trouble.

EPICAT schematic
Link to Publications

CMS Login