
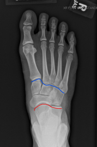
Figure 1: The blue line separates the
forefoot from the midfoot. The red line
separates the midfoot from the hindfoot.
The foot usually consists of 26 bones, and includes 3 distinct parts:
The hind foot is comprised of two bones, the talus bone which connects to the bones of the lower leg, and the calcaneus bone which forms the heel.
The midfoot is comprised of the navicular, cuboid, and three cuneiform bones.
The forefoot is comprised of five metatarsal bones and 14 toe bones called phalanges.
The hind foot is separated from the midfoot by the transverse tarsal joint, also known as the Chopart joint. This includes the talonavicular joint as well as the calcaneocuboid joints. The midfoot is separated from the forefoot by the Lisfranc joint. The Lisfranc joint separates the five metatarsal bones from the three cuneiform bones and the cuboid bone.
Muscles, tendons, and ligaments support the bones and joints of the feet enabling them to withstand the entire body's weight while walking, running, and jumping. Trauma and/or stress can cause fractures in the foot. Extreme force is required to fracture the bones in the hindfoot. The most common type of foot fracture is a stress fracture, which occurs when repeated activities produce small cracks in the bone. Patients with low bone density (osteopenia or osteoporosis) are at higher risk for stress fractures.

Foot fractures can involve different bones and joints, and are generally classified into the following types:
This type affects the heel bone and usually occurs as a result of a high-energy collision or a fall from height. It can cause disabling injuries, and if the subtalar joint is involved it is considered a severe fracture.

The talus bone helps to transfer weight and forces across the joint. Talus fractures usually occur at the neck or mid portion of the talus.

Navicular fractures although rare, usually consist of stress fractures that occur with sports activities involving repeated loading on the foot, such as running and gymnastics.

This type of fracture occurs due to excessive loading on the foot, which leads to stretching or tearing of the midfoot ligaments. These fractures typically cause instability in the midfoot and lead to midfoot arthritis if left untreated.

Metatarsal fractures of the 2nd through 5th metatarsals can usually be treated nonoperatively unless there is significant displacement. Typically, patients are able to weight bear as tolerated in a walking boot or post-operative shoe. They can then transition to supportive sneakers as symptoms continue to improve. Patients are usually back into a regular shoe within 4-6 weeks after injury.

Toe fractures usually occur after trauma such as dropping a heavy object on the foot or kicking a stationary object. These can typically be treated non-operatively. If, however, one of the toe joints is involved in the fracture, leading to arthritis and symptomatic pain, Dr. Moon may recommend a fusion of the joint.
Foot fractures commonly occur as a result of a fall, motor vehicle accident, dropping a heavy object on the foot, or overuse. They can also occur after any increase in activity in patients with abnormally low bone density.
The common symptoms of a foot fracture include:
A foot fracture is diagnosed by reviewing the patient’s medical history and performing a thorough physical examination of the foot. Imaging tests such as an X-ray, MRI, or CT scan may be ordered to confirm the diagnosis.
Navicular fractures can be especially difficult to diagnose without imaging tests.
Treatment depends on the type of fracture sustained. The majority of forefoot fractures are mild and do not require surgery. Nonsurgical treatment includes rest, ice, compression, and elevation of the foot. Your provider may suggest a splint, cast, or boot immobilize the foot. For more severe fractures, surgery is usually required to align and reconstruct the affected bones or fuse the damaged joints. The surgical procedure may involve holding together bone fragments with plates and screws.
Physical therapy may be recommended to improve range of motion and strengthen the foot muscles. Weightbearing is usually a gradual process and is usually aided with the use of crutches and/or a walking boot or sandal.
Foot fractures are common injuries, making up about 10% of all orthopedic fractures. Foot fractures may be treated with conservative therapies or surgery depending on the severity. Because foot fractures can lead to serious complications and long-term disability if not properly treated, timely treatment is important.