Alert: Canvas Outage Update

Learn More

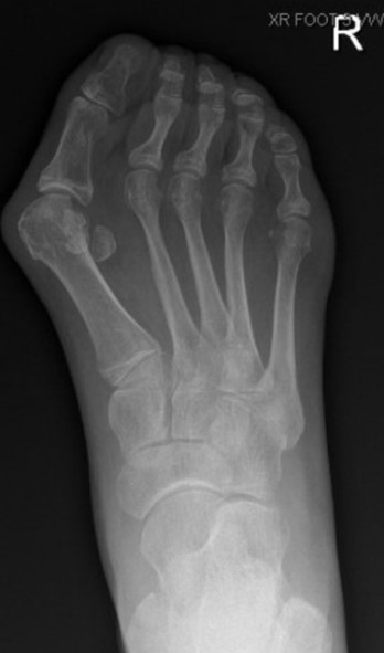
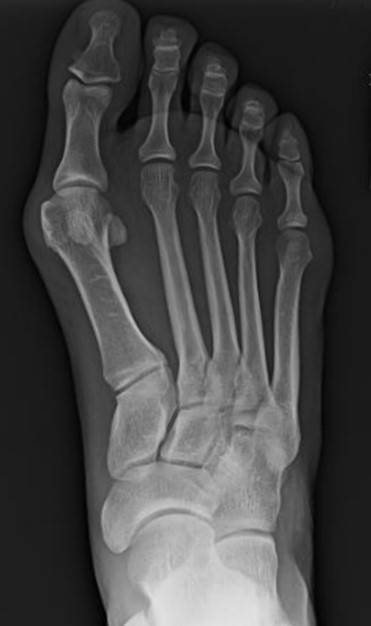
Hallux valgus-bunion deformity
Figure 1: Hallux valgus (bunion deformity)

Bunions

A bunion, also known as hallux valgus, is a bony prominence at the base of the big toe, which often results in pain, redness, and rubbing in footwear. The 1st metatarsal bone abnormally angles outward towards the other foot from its joint in the midfoot. A bunion can change the shape of your foot, make it difficult for you to find shoes that fit correctly, and worsen the symptoms if left untreated.

Causes

Although it is not clearly understood why bunions occur, possible causes include:

  • Family history and genetics
  • Arthritis (inflammation of the joints) including rheumatoid arthritis, psoriatic arthritis, and gout
  • Neuromuscular conditions such as cerebral palsy which affects movement and co-ordination
  • Connective tissue disorders such as Marfan’s syndrome (affects the connective tissues)
  • Tight-fitting shoes that are too tight, narrow, or high-heeled.

 Signs and Symptoms

The main indication of a bunion is the pointing of the big toe toward the other toes of the foot. Other signs and symptoms include:

  • Pain and swelling over the medial big toe that increases while wearing shoes
  • Swelling with red, sore, and calloused skin at the base of the big toe
  • Inward turning of the big toe pushes the second toe out of place
  • A bony bump at the base of the big toe
  • Sore skin over the bony bump
  • Difficulty walking and wearing shoes

Diagnosis

The diagnosis of a bunion includes taking a medical history and performing a physical examination to assess the extent of misalignment and damage to the soft tissues. Weight-bearing X-rays are taken while standing to assess the severity of the bunion and deformity of the toe joints.

Treatment

Conservative treatment is initially recommended, with the goal of reducing or eliminating foot pain. Such measures can include:

  • Medications for relieving pain and inflammation
  • Wear surgical shoes with a wide and high toe box, avoiding tight, pointed, or high-heeled shoes.
  • Use of a toe spacer
  • Use orthotics to realign the bones of your foot and ease the pain.
  • Padding of bunions

Conservative treatment measures can help relieve the discomfort of a bunion, however, these measures will not prevent the bunion from becoming worse.

Surgery

Surgery is the only means of correcting a bunion. Surgery is also recommended when conservative measures fail to treat the symptoms of a bunion.
There are over 100 surgical options described in the literature to correct a bunion. The common goal is to realign the bones in the foot, correct the deformity, and relieve pain and discomfort. All of our bunion correction surgeries are outpatient so you will go home the same day. You will wake up in a splint and will be non-weight-bearing on the operative extremity for 4-6 weeks.
Osteotomy is a common type of bunion surgery that involves the surgical cutting and realignment of the bones around your big toe. Your surgeon selects the appropriate surgical procedure based on the type of bunion and its severity.
There are 3 main types of osteotomies used by foot and ankle surgeons: akin osteotomy, chevron osteotomy, and scarf osteotomy.

Akin Osteotomy

Akin osteotomy corrects the sideways deviation of the big toe. In this procedure, your surgeon makes a small cut in the proximal phalanx (base of the big toe) and removes a wedge of bone to straighten the big toe. The bony fragments are then stabilized using a screw. This procedure is often used in conjunction with the other procedures below.

pre-operative weightbearing radiographs bunion deformity
Figure 2: pre-operative weight-bearing radiographs, bunion deformity
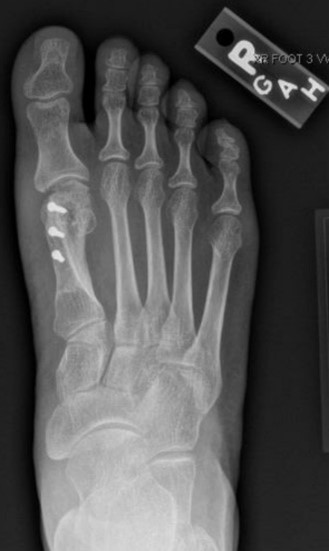
post-operative bunion correction
Figure 3: post-operative bunion
correction using Akin and Chevron osteotomies

Chevron Osteotomy

A chevron osteotomy is usually recommended for mild to moderate bunion deformities. During this procedure, your surgeon will make an incision over your big toe. The joint capsule is opened, and the bunion is removed using a surgical saw. A V-shaped cut is made on your big toe and the metatarsal bones are shifted to bring your toe into its normal anatomical position. The bunion is then shaved and the soft tissues are realigned into the correct position. Akin osteotomy may be performed if necessary. The mobility of your big toe is examined, and the capsule and wound are re-approximated with sutures. Screws are used to hold the bones in their new position until healing. 

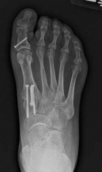
post-operative bunion correction
Figure 4: post-operative bunion correction using Scarf osteotomy

 

Scarf Osteotomy

Scarf osteotomy is usually recommended for moderate to severe bunion deformities. Your surgeon will make an incision along your big toe and open up the joint capsule to expose the bump. The bump on your big toe is then removed using a bone saw. Your first metatarsal bone is then cut in a Z shape and realigned to correct the deformity. Your surgeon will fix the cut bone with screws. This is a very powerful corrective procedure with excellent long-term results.

 

 

 

 

 

 

Lapidus bunionectomy
Figure 5: Lapidus bunionectomy with Akin osteotomy

 

Lapidus Bunionectomy

A Lapidus bunionectomy involves a procedure called arthrodesis, which is the fusing of two bones. This procedure is used for severe bunions. During this procedure, the surgeon will make a cut in the medial midfoot to expose the first tarsometatarsal joint. The cartilage is removed from the joint and the 1st metatarsal and medial cuneiform bones are compressed and held in place with 3 screws. In addition, a distal soft-tissue procedure is performed. This requires an incision at the first webspace and the lateral soft tissues are released. You will be non-weight-bearing on the operative extremity for a minimum of 6 weeks to allow for healing and for the bones to fuse.

Risks and Complications

As with any surgery, bunion surgery involves certain risks and complications. They include:

  • Infection
  • Recurrence of the bunion
  • Nerve damage
  • Unresolved pain and swelling
  • Joint stiffness or restricted movement
  • Delayed healing or healing in the wrong position
  • In rare cases, a second surgery may be necessary to correct the problems.

Post-Operative Care

Patients should follow all instructions given by the surgeon following the surgery. These include:

  • Keep your dressings dry and leave them in place until your next outpatient appointment.
  • Maintain non-weight-bearing using crutches, knee scooters, walkers, etc.
  • Elevate the foot above heart level as much as possible to minimize swelling and pain.
  • Once it is safe to walk on foot, you will have to wear specially designed post-operative shoes to protect the wounds and assist in walking.
  • You may not be able to wear regular shoes for 2-3 months depending on the amount of swelling.
CMS Login